找回密码
 新用户注册
搜索

在义乌的新疆老汉脑干出血成功获救

[复制链接]
潘仁龙 发表于 2012-11-16 10:04 | 显示全部楼层 |阅读模式
在义乌的新疆老汉脑干出血成功获救
11月1日,上海神经外科资深专家中心的潘仁龙教授接到浙江义乌市来的电话,要求教授去义乌市中心医院重症监护病房急会诊一位新疆来义乌的62岁老汉。
老汉是出事的3天前到义乌儿子家中来玩的。想不到,10月30日突然昏迷,被家人送到义乌市中心医院急诊室,经过头颅CT检查,明确诊断为脑干出血。接诊大夫也明确告诉家属做好后事准备。由于家属坚决要求医生抢救,才转到重症监护病房,用了药,吸了氧。没有特殊的处理。第二天,家属要求请浙江省杭州大医院专家来会诊,浙江某大医院的神经外科权威医生从杭州来到义乌中心医院,看了病人,就说了4个字“必死无疑”,还说,没有什么好抢救的了。
会诊医生回杭州去了,家属的心情是哪怕有一丝希望也要让老人活下来。在1日找到上海神经外科资深专家中心的享有中国脑科康复第一人称号的潘仁龙教授,并联系到他了。听到家属迫切的心情与叙说,接收并看了病人家属发来的头颅CT片子,潘教授答应2日下午赶到义乌市中心医院进行急会诊。
由于潘教授在义乌市各个医院曾经抢救无数的危重病人,当地医生也非常熟悉潘教授,在接到教授的电话,医院方面也做好了准备工作。神经外科的方医生、重症监护病房的黄医生都非常认真做好了教授来会诊的准备工作。
2日下午3点左右,教授赶到了病房,在听取病房医生及外科医生的汇报后,教授仔细检查了病人,并且马上组织讨论,提出了目前病人需要如何处理的措施。诊断明确,脑干出血,但是,病人有自主呼吸,评分4-5分,四肢活动差。教授意见:根据病人现在情况,立即气管切开,呼吸机辅助呼吸,预防肺部的并发症。制定了一系列的抢救方案。教授意见,病人还是有抢救过来的可能,一周后会醒过了,但是,绝对不能发生肺部并发症及再出血的情况。
10天后,真如教授讲的,老人慢慢地睁开了眼睛,对家属的呼唤有了反应。四肢也能活动了。
11天老人被转到了上海蓝十字脑科医院进行康复治疗。
明确病人已经清醒,能够按照医生要求进行闭眼、睁眼、伸舌。
但是,病人是个老烟枪,教授预料的肺部并发症被控制住了,虽然痰很多,护理部护士花了大量的精力给于吸痰,护理。教授说:经过上海蓝十字脑科上海顶级专家团队的教授、护士精心治疗、护理,病人会很快康复的。

按照医生要求闭眼

按照医生要求闭眼

老人能够按照医生要求闭眼
602_374646526_IMG_3259.JPG
按照医生要求睁眼

按照医生要求伸舌

按照医生要求伸舌
  
按照医生要求伸舌。

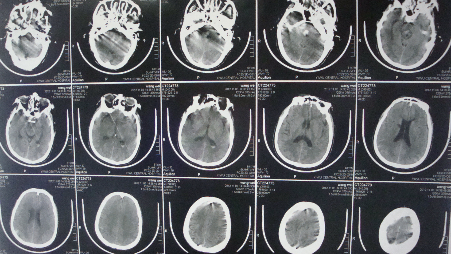
10月31日头颅CT:脑干出血

10月31日

10月31日


10月6日在教授会诊处理后,病人脑干出血部位血肿有吸收。

11月6日

11月6日

11月9日头颅CT:脑干血肿明显吸收,病人已经有意识了。

11月9日

11月9日

上海神经外科资深专家中心

上海神经外科资深专家中心

联系电话:13061701312
tange 发表于 2012-11-16 12:04 | 显示全部楼层
医德崇高
BAOMAMA 发表于 2012-11-16 12:35 | 显示全部楼层
久闻大名
北京老K 发表于 2012-11-16 12:58 | 显示全部楼层
从尊重患者隐私考虑,照片眼睛部分应打马赛克。
伊人 发表于 2012-11-16 19:18 | 显示全部楼层
医者仁心~
影之妆者 发表于 2012-11-23 23:00 | 显示全部楼层
给力
雨点 发表于 2012-12-27 10:35 | 显示全部楼层
白衣天使的诠释
好人有好报,潘教授辛苦
您需要登录后才可以回帖 登录 | 新用户注册

本版积分规则

象山同乡网 ( 京ICP备10005750号 )

GMT+8, 2025-12-18 03:20

Powered by Discuz! X3.5

copyright by 54xsr.com

快速回复 返回顶部 返回列表