找回密码
 新用户注册
搜索

高超的医术 顽强的生命

[复制链接]
潘仁龙 发表于 2008-6-7 21:04 | 显示全部楼层 |阅读模式

                                              高超的医术    顽强的生命
                                     
                                            明州医院成功抢救动脉瘤破裂出血病人
                                       完成医院内首例颅内动脉瘤血管内栓塞手术
   
      
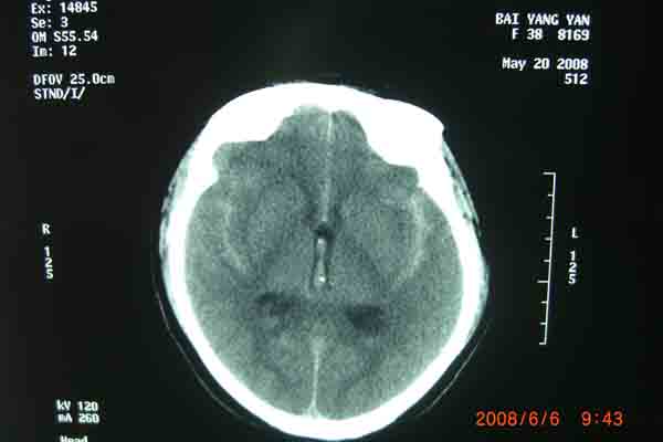
        6月6日上午,在明州医院放射科的DSA检查室内。上海的神经外科专家及麻醉科在为一位38岁的云南来宁波打工中年女病人做颅内动脉瘤(眼颈交界处7*3.5cm)血管内栓塞手术。无影灯下,准备工作在有条不紊地进行着。全身麻醉后。介入手术开始了,手术医生以非常娴熟的手法,在右侧股动脉内置入导管,在显像下,随着导丝进入,顺利到达动脉瘤瘤腔内。随着弹簧圈进入,瘤腔内被充填。造影后,显示位置良好。所有的神经外科医生知道,在手术过程中,如果发生动脉瘤破裂,那后果不堪设想。手术成功了,大家悬着的心放下了。整个手术时间仅仅用了1个半小时。手术后,病人即清醒,送回病房。
       回想这个病人是5月 20 日,因为在早晨起床后,突然昏迷不醒,跌到在地,被家人送往明州医院急症室,经过医生检查,这个病人已经瞳孔放大,呼吸停止。紧急地插入气管导管后,给予呼吸机使用。经过医院上海神经外科专家检查病人后,指出这是动脉瘤破裂出血导致的呼吸压制。需要头颅CT检查,在捏着皮球保持呼吸道通畅,即刻行头颅CT检查,确认为动脉瘤破裂出血,前交通动脉瘤破裂为主。专家看了片子后,认为如果行双侧脑室外引流,将血液引出,可能会使呼吸恢复。马上送手术室做急症手术,引流出血性脑脊液后,病人呼吸慢慢恢复了。经过3个星期的正规治疗(高血压,高颅压,高体温)(抗血管痉挛,抗感染)(外引流)病人终于度过了危险期。在6月6日上午成功进行了颅内动脉瘤血管内栓塞手术。
       上海神经外科专家潘仁龙教授指出:动脉瘤性破裂出血,是一种高致病率和高致死率疾病。约12%病人在接受治疗前就死亡,40%住院病人死于出血后一个月内,三分之一的病人遗有神经功能缺陷,只有少部分预后较好。交通动脉瘤破裂出血后,导致呼吸压制,一般没有生存可能,而且在呼吸停止30分种经过手术外引流,使病人呼吸慢慢恢复,这是一个奇迹,同时也给神经外科医生提供了一个依据,积极抢救仍然是必要的。
       手术后,家属知道手术成功,紧紧握住医生的手,连连道谢,感谢医生,感谢明州医院给了她第二次生命。


[ 本帖最后由 成根 于 2008-6-7 22:16 编辑 ]
动脉瘤破裂出血 (1).JPG
动脉瘤破裂出血 (2).JPG
动脉瘤破裂出血 (3).JPG
动脉瘤介入治疗.JPG
动脉瘤介入治疗 (7).JPG
动脉瘤介入治疗 (13).JPG
动脉瘤介入治疗 (14).JPG
动脉瘤介入治疗 (16).JPG
gamesover 发表于 2008-6-7 22:13 | 显示全部楼层
牛啊,这个要顶一下
医生一把刀,病人一条命
潘教授又救人一命
外行问一下,这个病人有无可能得到根治,即切除这个肿瘤?
成根 发表于 2008-6-7 22:18 | 显示全部楼层

白衣大夫,救死扶伤!
救人一命,胜造七级浮屠!
 楼主| 潘仁龙 发表于 2008-6-7 22:42 | 显示全部楼层

回复 #2 gamesover 的帖子

不能,栓塞手术就是使血液凝固.动脉瘤就不会破裂了.
小妮子 发表于 2008-6-8 08:52 | 显示全部楼层
空子 发表于 2008-6-8 13:41 | 显示全部楼层
潘教授,你的帖子看得我惊心动魄啊!
 楼主| 潘仁龙 发表于 2008-6-8 16:40 | 显示全部楼层

回复 #6 空子 的帖子

空子,您好,这个病人是非常幸运的,如果不是我看这个病人,采取果断的手术-外引流,她已经完成在世界上任何的事情了.所以,医者仁心,一旦碰上了好医生,主要是经验丰富,那结果就是不一样的.欢迎咨询.


明州医院每星期一上午做颅脑血管造影.可以在动脉瘤未破裂前发现病情,可以早期处理.由上海专家亲自给予检查.联系电话:  15888508588
不倒翁 发表于 2008-6-8 16:49 | 显示全部楼层
潘一刀
空子 发表于 2008-6-10 12:03 | 显示全部楼层
潘教授,您主持脑外科手术这么多年,应该也碰到过失败的例子吧?综合各种原因,能否给大家讲讲通常手术失败的各种导致原因?尤其在碰到创伤时,患者的前期自救措施之类的知识。谢谢。
 楼主| 潘仁龙 发表于 2010-1-31 11:37 | 显示全部楼层
赵本山就是这种病
您需要登录后才可以回帖 登录 | 新用户注册

本版积分规则

象山同乡网 ( 京ICP备10005750号 )

GMT+8, 2026-5-24 06:00

Powered by Discuz! X3.5

copyright by 54xsr.com

快速回复 返回顶部 返回列表